首页
名医在线
体检订单
个人中心
健康资讯
未知
分享送10元券
选择城市
快速导航
×
首页
体检预约
名医在线
报告查询
健康问卷
个人中心
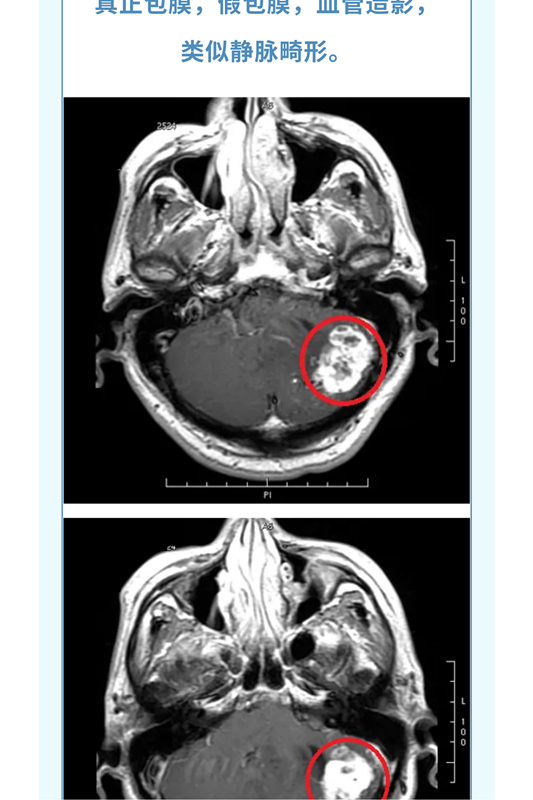
神经导航辅助下改良枕下天幕上入路治疗复杂小脑山坡实质性血管母细胞瘤
2021-06-18 15:53
血管母细胞瘤( 血管网状细胞瘤、血管网织细胞瘤):为良性肿瘤, 有人认为其起源于血管周围的间叶细胞, 好发小脑中线旁,占颅内肿瘤的1%,后颅窝肿瘤的7%; 主要发生于成人(30~40岁多见);儿童期和老年人少见,男性较女性多见; 分为散发性和家族遗传性两种,后者表现为VHL病。多发者高度提示VHL病。
客服热线:0596-2935175
关注
“健康壹生”
,新的就医模式,当天检查当天门诊,享受专人带检陪诊,权威医生在线咨询等便捷个性化服务,体验不一样的轻松就诊体检服务。
上一条:如何处理腰椎间盘突出
下一条:没有了